Hypoadrenocorticism in Dogs: Diagnosis & Considerations for Referral
Patty Lathan, VMD, MS, DACVIM (Small Animal), Mississippi State University
J. Catharine Scott-Moncrieff, MA, MS, Vet MB, DACVIM, DECVIM, Purdue University

Hypoadrenocorticism is an uncommon disease in dogs. Young to middle-aged females and Great Danes, standard poodles, and West Highland white terriers are predisposed, but any dog can be affected. Because of the potential for acute death in dogs with severe electrolyte abnormalities and the favorable prognosis with appropriate treatment, prompt diagnosis is crucial.
Hypoadrenocorticism is caused by a lack of corticosteroid and mineralocorticoid secretion from the adrenal glands. Common clinical signs include inappetence, vomiting, weight loss, and diarrhea. Hematemesis and hematochezia occur less frequently. Dogs often have waxing and waning clinical signs that resolve with fluid or corticosteroid administration. If diagnosis is delayed, patients may be presented with hypovolemic shock.
Diagnosis
Classic laboratory findings in patients with hypoadrenocorticism are hyponatremia and hyperkalemia, although these findings may be absent initially. Some patients with hypoadrenocorticism (atypical hypoadrenocorticism) do not exhibit characteristic electrolyte alterations. Other conditions (eg, renal disease, GI parasitism) may also cause hyperkalemia and hyponatremia. Other laboratory abnormalities in patients with typical hypoadrenocorticism include hypoglycemia, hypochloremia, hypocholesterolemia, and azotemia. Most patients with hypoadrenocorticism are presented with a urine specific gravity <1.030; in the face of azotemia, this may be incorrectly attributed to primary renal failure. Eosinophilia, lymphocytosis, or lack of a stress leukogram in an ill patient suggests hypoadrenocorticism.
Definitive diagnosis requires an ACTH stimulation test. A post-ACTH plasma cortisol concentration <2 µg/dL is consistent with hypoadrenocorticism. A single dose of dexamethasone given before the ACTH stimulation test does not interfere with interpretation of results.

This dog was presented for acute collapse while hunting. Laboratory findings included hyponatremia, hyperkalemia, azotemia, and severe hypoglycemia. After initial therapy with IV fluids and dextrose, hypoadrenocorticism was confirmed with an ACTH stimulation test. With desoxycorticosterone pivalate and prednisone supplementation, the dog returned to its normal routine, including additional hunting trips.

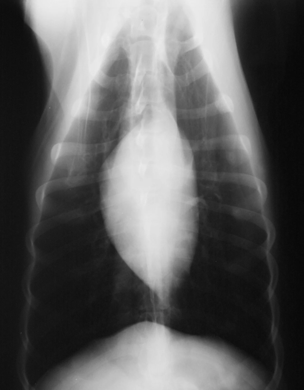
Thoracic radiograph from a dog with hypoadrenocorticism revealing microcardia. Microcardia is a nonspecific finding indicative of hypovolemia.
Findings in Dogs With Hypoadrenocorticism
Historical
Decreased appetite
Lethargy
Weight loss/failure to gain weight
Depression/weakness
Vomiting
Diarrhea
Hypovolemia/shock
Polyuria/polydipsia
Shaking/shivering
Physical examination
Depression/weakness
Hypovolemia/shock/collapse
Bradycardia
Melena
Abdominal pain
Clinicopathologic
Hyperkalemia
Hyponatremia
Hypochloremia
Azotemia
Hypoglycemia
Hypercalcemia
Hypocholesterolemia
Hypoalbuminemia
Isosthenuria
Lymphocytosis
Eosinophilia
Lack of stress-related neutropenia
Anemia
Related Article: Urine Cortisol:Creatinine Ratio to Diagnose Hypoadrenocorticism in Dogs
Related Article: Iatrogenic Hypoadrenocorticism Following Treatment With Trilostane
Levels of Care
Hemodynamically stable patients with mild electrolyte abnormalities (potassium <5.5 mEq/L, sodium >135 mEq/L) and clinical signs may be managed on an outpatient basis. Prednisone is initially administered at supraphysiologic doses (0.5-1 mg/kg per day) and then adjusted to the lowest effective dose; the dose should be doubled the day before anticipated stressful situations. For mineralocorticoid supplementation, desoxycorticosterone pivalate (DOCP; 2.2 mg/kg) is administered as an IM or SC (if well-hydrated) injection every 25 days. Alternatively, oral fludrocortisone acetate may be given at a starting dosage of 0.02 mg/kg per day. Fludrocortisone also has corticosteroid activity, so additional prednisone may not be necessary.
When to Consider Referring
Patients with severe clinical signs and laboratory abnormalities must be stabilized with IV fluid therapy. Referral of patients with severe electrolyte abnormalities, acid–base disturbances, GI blood loss, or other metabolic abnormalities is recommended for intensive monitoring and therapy. These patients are best handled by facilities with 24-hour care and the ability to frequently monitor electrolytes, blood pressure, and ECG. Access to blood products is ideal.
When Referral Is Not an Option
The primary goals in management of an addisonian crisis are to correct hypovolemia, electrolyte abnormalities, and hypoglycemia (if present). Blood pressure, ECG, and electrolytes should be monitored frequently. Hyperkalemia usually improves with fluid administration alone. The IV fluid of choice is 0.9% sodium chloride, administered at shock doses (90 mL/kg, given as 20-30 mL/kg boluses). For hypoglycemia, dextrose can be administered as a diluted bolus or a 5% solution in 0.9% sodium chloride.
If hyperkalemia is severe (potassium >6.5 mEq/L) or causing ECG changes (absent P waves, increased P-R interval, or bradycardia), additional therapy may be indicated. A 10% solution of calcium gluconate (2-10 mL/dog) may be administered IV over 10 to 15 minutes while monitoring for ECG changes associated with hypercalcemia. Although the effect is almost immediate, it lasts for only about 10 to 30 minutes; the treatment is cardioprotective and does not lower the potassium concentration. Simultaneous IV administration of dextrose (2 g/unit of insulin) and regular insulin (0.5 U/kg) will decrease potassium levels within 15 to 30 minutes. A 5% dextrose solution in 0.9% sodium chloride should be administered after insulin treatment to alleviate hypoglycemia.
Following stabilization, an ACTH stimulation test should be performed. Dexamethasone (0.2 mg/kg IV) may be administered before or after ACTH stimulation because, unlike prednisone, it will not interfere with interpretation. Fluid therapy should continue until the patient can eat and drink. Additional supportive therapy, including gastroprotectants and blood transfusion, may be necessary. Dexamethasone should be given daily (0.05 mg/kg every 12 hours) until oral prednisone is tolerated. Mineralocorticoid supplementation should begin once the diagnosis is confirmed.
Related Article: Impact of Long-Term Management of Canine Hypoadrenocorticism
The Referral Process
Initial stabilization must be attempted before referral because the stress of transportation may not be tolerated. IV fluids should be given as described above, and hyperkalemia and hypoglycemia should be controlled.
Recent laboratory values, radiographs, and medical records (including a list of medications) should be sent with the patient. The client should be informed that although most addisonian patients recover fully, lifelong medication is required. The cost for a patient with hypoadrenocorticism is approximately $2 to $3/kg per month.
Following discharge, follow-up laboratory monitoring and dosage adjustments are required, and the referral clinic should be contacted about questions regarding dose adjustment or treatment response. Although patients with hypoadrenocorticism have an excellent long-term prognosis, concurrent illness may affect long-term management. Thus, reconsultation with a specialist should be considered when new problems are identified.