
Ultrasonographic changes to abdominal viscera are often nonspecific and necessitate tissue sampling for definitive diagnosis. Ultrasound-guided needle sampling is a clinically useful, minimally invasive, and generally safe procedure that typically achieves an accurate categorical diagnosis (ie, inflammation, infection, neoplasia), although diagnostic yield can vary based on the organ sampled and the disease process.1 In cases in which cytologic results are nondiagnostic or do not match the clinical picture, surgical biopsy should be pursued.
This article focuses on general ultrasound-guided needle-sampling techniques that can be applied to most abdominal structures. Organ and disease-specific considerations, as well as slide preparation, are reviewed elsewhere in the literature.2,3
Needle-Sampling Techniques
Fine-needle aspiration is used as an all-encompassing term for ultrasound-guided needle sampling, but the distinct techniques of fine-needle aspiration (FNA) and fine-needle nonaspiration (FNNA; ie, pincushion, advance/withdraw, woodpecker) differ in use of suction.3 FNA relies on suction to draw cells into the needle and hub; FNNA relies on the cutting action of the needle to pack cells inside the needle with 4 to 5 passes, trapping cells with capillary tension.2
For most disease processes and abdominal structures, especially the spleen, liver, and visceral lymph nodes, FNNA produces superior-quality samples with less blood contamination compared with FNA.2,4,5 The author uses FNNA as a default technique but uses FNA if initial cytologic results are nondiagnostic or the sample has grossly poor cellularity during slide preparation.
Needle & Syringe Size
FNA and FNNA are defined as sampling with a needle smaller than 20-gauge; use of a larger needle is considered needle core biopsy.2 Needle size has been extensively studied in human and veterinary medicine. Results vary depending on the tissue or disease sampled. In general, a larger-gauge needle is easier to see on ultrasonography, is less likely to bend while in tissue, and can collect more cells with less damage but causes slightly more blood contamination2; however, most studies find no significant difference in diagnostic quality or accuracy when comparing needle sizes ranging from 22 to 27 gauge.6-8 The author’s institution uses 22-gauge, 1- to 1.5-inch needles; other radiologists have reported similar success with 25-gauge needles.3 Longer (2.5-3.5 inch) 22-gauge spinal needles can be used for deeper lesions. Typically, the needle is connected to a 3-, 5-, or 10-mL syringe. A smaller syringe (3 or 5 mL) allows better dexterity and less blood contamination if aspiration is applied.2
Safety
Regardless of technique, needle sampling is considered safe with a low complication rate.9-11 The most common complication is self-limiting hemorrhage. Tests (eg, CBC, coagulation profile, buccal mucosal bleeding time) are not necessary for most patients but may help identify patients at high risk for periprocedural hemorrhage, including those with suspected liver disease, coagulopathy, thrombocytopenia, hemorrhage, or severe critical illness (eg, sepsis, systemic inflammatory response syndrome). Mild to moderate thrombocytopenia or coagulopathy are not absolute contraindications due to the self-limiting nature of bleeding from a small needle size. Rare complications include infection, increased vagal tone, neoplastic seeding, peritonitis (from leakage of urine, bile, or intestinal contents), and death.2,3,9-11
Step-by-Step: Ultrasound-Guided Fine-Needle Sampling Techniques in Veterinary Patients
What You Will Need
Ultrasound machine and transducer(s)
Analgesics/sedatives
Clippers
4- × 4-inch pads soaked with 2% chlorhexidine
4- × 4-inch pads soaked with 70% isopropyl alcohol
Nonsterile gloves
For immunocompromised patients: sterile drape, sterile gloves, and ultrasound transducer sleeve
Sterile needles (22-25 gauge, 1-1.5 inch or 2.5-3.5 inch [spinal needles])
Sterile syringes (3 or 5 mL)
70% isopropyl alcohol in a spray bottle
Materials for slide preparation and cytology
Glass slides, culture tube (optional), red- and purple-top tubes (optional)

Note: Needle sampling typically follows complete diagnostic ultrasonography or cross-sectional imaging.
Step 1: Sedate the Patient
Administer analgesics and/or sedation as needed to minimize patient stress and movement during the procedure.
Author Insight
General anesthesia is rarely needed but can provide analgesia and minimize movement during the procedure.
Step 2: Prepare the Patient
If not done previously, widely clip the fur in the area to be sampled. Use 4 × 4 pads soaked with 2% chlorhexidine and 4 × 4 pads soaked with 70% isopropyl alcohol to wipe away gross debris and clean the area.

Image courtesy of Tom Thompson, Mississippi State University
Ensure any previously applied ultrasound gel (amorphous purple stained material [arrows]) is removed, as even sterile gel can interfere with cytologic interpretation.2 Clean the transducer of any gross debris, hair, or gel.

Image courtesy of Dr. Matt Williams
Author Insight
Nonsterile examination gloves can be used for most patients. For immunocompromised patients, a sterile drape, sterile gloves, and an ultrasound transducer sleeve can be used to reduce the risk for infection.
Step 3: Prepare the Needle & Syringe
Sterilely attach a 22- to 25-gauge, 1- to 1.5-inch needle or 2.5- to 3.5-inch spinal needle to a 3- or 5-mL syringe.
Author Insight
For FNNA, preloading the syringe with air by pulling the plunger back to the 1- to 3-mL position can accelerate sample spreading on glass slides and avoid premature sample expulsion while the syringe is being connected to the hub of the needle. Shorter needles (1-1.5 inch) should be used for superficial structures; longer needles (2.5- to 3.5-inch spinal needle) should be used for deeper structures.
Step 4: Choose a Transducer
Select a curvilinear or linear transducer based on the size of the patient, lesion location, and acoustic window.

Image courtesy of Tom Thompson, Mississippi State University
Author Insight
The author routinely uses a curvilinear transducer but prefers a linear transducer for cats, small dogs, and superficial lesions. Typically, the transducer is held in the dominant hand and the needle is held in the nondominant hand; however, this placement can be reversed and is sometimes needed depending on the location of the lesion to be sampled.
Step 5: Find the Target Via Ultrasonography & Identify All Adjacent Structures
Interrogate the target and adjacent structures with gentle fanning/sweeping and rocking/sliding of the transducer in both planes. Attempt to identify the ideal window and travel path that will allow the needle to pass through the skin and directly into the lesion of interest while only passing through the peritoneal or retroperitoneal space. Avoid vessels, other organs, and separate body regions/cavities. If available, interrogate the lesion and surrounding area with color or power Doppler (see Video) to help identify vessels that may not be visible with brightness mode (B-mode) alone.

Color Doppler identifies 2 splenic arteries (arrows) extending toward the periphery. These vessels were not easily seen on B-mode and may have been punctured if sampling was performed in this area.
Step 6: Adjust the Angle of the Needle
Determine the optimal angle of the needle based on the depth of the target.
Author Insight
Most structures can be sampled with the transducer held perpendicular and the needle inserted at an ≈40- to 60-degree angle relative to the skin (A). Superficial structures require a flatter needle angle (B); deeper structures require a steeper needle angle (C). In some cases, increasing transducer pressure can bring the target closer to the transducer, facilitating use of a shorter needle or different needle angle.



Images courtesy of Tom Thompson, Mississippi State University
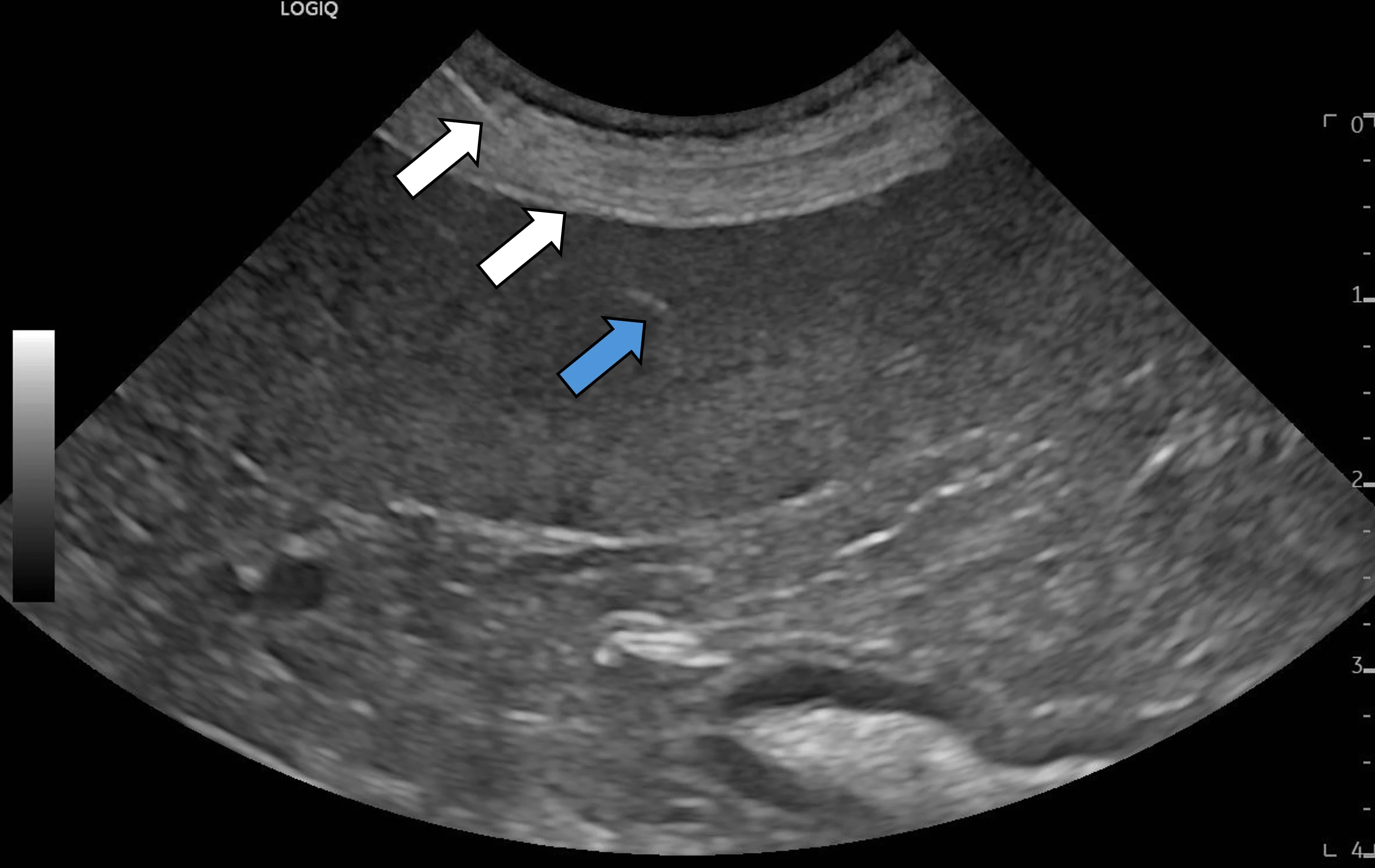
Step 7: Insert the Needle & Collect a Sample From the Target Lesion or Organ
Ensuring the needle is in the same plane as the beam of sound, insert the needle through the skin immediately next to the transducer and a short distance into the superficial soft tissues. Identify the needle on the ultrasound machine screen as a thin, hyperechoic linear structure. Make small adjustments to the needle or transducer so the entire needle (white arrows), including the tip (blue arrow), is completely visible.

Adjust the needle angle so the intended path is directed at the target, and advance the needle. Once inside the target, advance and withdraw the needle 4 to 5 times within the target if performing FNNA or apply suction (2-3 mL) 1 to 3 times if performing FNA. Do not advance/withdraw or reposition the needle while the patient is moving, including when the patient is taking large breaths, as this can cause the abdominal viscera (especially the liver) to move caudally. Remove the needle from the patient once sampling is complete.
Step 8: Expel the Sample & Prepare a Slide
With the bevel of the needle facing down, expel the sample onto a glass slide. Prepare the slide as described in the literature.2
Step 9: Repeat as Indicated
Collect additional samples as needed.
Author Insight
In general, diagnostic yield increases with the number of times a lesion is sampled; returns begin to diminish after 3 to 5 samples. If an organ is being sampled for diffuse disease, different locations should be sampled in case the disease is unevenly distributed.12,13 Examples include a diffuse change in echogenicity or echotexture without an obvious nodule/mass lesion or normal-appearing tissue with the potential for metastatic involvement (eg, liver and spleen with high-grade mast cell disease or lymphoma).
Step 10: Evaluate the Area for Hemorrhage
After all samples have been collected, re-evaluate the sampled regions for evidence of anechoic or echogenic acute hemorrhage (arrow).

Author Insight
A small volume of self-limiting hemorrhage is common and usually not of clinical concern. Hemorrhage can be rechecked with ultrasonography after 1 to 4 hours for signs of progression or sooner if the patient displays clinical signs of hypovolemia.
Practicing Ultrasound-Guided Sampling
Like most techniques, repetition of ultrasound-guided sampling builds skill. Start by practicing your technique on fruit cups, gelatin molds, or other models. Be specific about which structure on the screen is being sampled. You can also practice with a clinical technique you are already comfortable with. For example, most clinicians can perform a cystocentesis. Practice picking a spot on the screen within the urinary bladder lumen and guide the needle to the exact location. Once you are comfortable, start sampling large, superficial organs (eg, the spleen) or large masses. As your confidence grows, attempt more challenging targets that are smaller, deeper, or surrounded by other important structures (eg, large vessels).
Listen to the Podcast
Dr. Seitz shares more of his tips and tricks for ultrasound-guided sampling in this episode of the Clinician's Brief podcast.